
HOME ≫ 歯周病 ≫
歯周病

歯周病治療
歯ぐきのトラブルでお悩みの方へ
「歯肉が腫れている」「口臭がする」「虫歯でもないのに歯がグラグラしている」という方はいませんか? もしあなたにこうした症状があるとすれば、歯周病を疑ってください。
歯周病は歯と歯ぐきの間から入ったバイ菌が、歯肉に炎症を引き起こし、歯を支えている骨を溶かしてしまう病気です。日本人の約80パーセントが歯周病といわれ、自覚症状があらわれるのが遅いため、出血したりグラグラしてから慌てて歯科医院へ行く人がほとんどです。
もしこうした症状がある場合、すぐに当院までご相談ください。このページでは当院の歯周病治療についてご説明いたします。
こんな方はぜひ歯周病治療を
- 歯肉が腫れている
- 歯肉が赤い、または紫がかっている
- 口臭がする
- 虫歯でもないのに歯がグラグラしている
- 歯と歯の間の隙間が大きくなって食べ物がはさまりやすくなった
当院の特徴

進行してしまった歯周病もご相談ください
歯周病は初期であれば、正しいブラッシングと、クリーニングを行えば改善できます。しかし、進行してしまった歯周病には抜歯をするしかありません。
とはいえ、やはり自分の歯は残しておきたいもの。そこで当院では、進行してしまった歯周病でも歯を残せる可能性のあるものは極力患者様とのご相談の上残しております。どうぞお気軽にご来院ください。
歯周病の治療法とは?
軽度の歯周病の治療は実はとってもシンプルです。軽度であれば、原因である歯石やブラッシング、生活習慣のアドバイスだけである程度は改善されます。

初期歯周病の治療方法
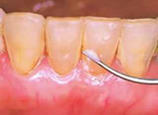
スケーリング&ルート・プレーニング
スケーラーとよばれる金具を使用して歯ぐきや歯周ポケット内からプラーク、付着物、歯石を除去し、デコボコになってしまった歯面を整えます。
PMTC
プロフェッショナル・メカニカル・トゥース・クリーニングの略で、専門家によるお口のケアです。
当院ではPMTCを1時間3,000円(税抜)というリーズナブルな価格で提供しております。
ブラッシング指導
あなたに合ったブラッシング方法をご提案させていただきます。
歯周病治療のリスク
再生療法における術後のリスクは、歯肉の縫合の裂開による周辺組織の感染の可能性です。
また、PMTCは行う際にしみる症状が出ることもあります。
歯周病の主な原因とは?
「歳を重ねたので歯周病になるのは仕方がない」と思っている方はいませんか? 歯周病は決して年齢からくる老化現象ではありません。歯周とは細菌が引き起こす感染症といわれています。それでは歯周病の主な原因とは何でしょう?

歯垢
歯垢歯周病の最大の原因は歯垢(プラーク)です。歯垢は細菌の塊で、食べカスを栄養源として毒素を発生させ、その毒素が歯肉や歯を支える骨(歯槽骨)などを破壊していきます。

喫煙
喫煙タバコに含まれるニコチンが白血球の働きを低下させるため、免疫機能が衰えて歯周病菌が増加します。また、血管が収縮するために血行が悪くなり歯周病になりやすくなります。

口呼吸をしている、または口が開いたままになっている。
口呼吸鼻炎や鼻づまり、歯並びが悪いなどの原因で口呼吸しやすい状況であったり、睡眠中に口が開いた状態が続くと口の中が乾燥して唾液が出にくくなり、歯周病にかかりやすくなります。

糖尿病
からだの免疫防御機能が低いため、炎症を引き起こしやすく、歯周病にかかると治療に時間がかかります。

妊娠中の方
妊娠妊娠中はホルモン分泌の影響で歯ぐきが腫れやすくなります。

ストレス
ストレス副腎皮質ホルモンの分泌が高まり、免疫機能の働きが活発になると白血球の働きが弱くなり歯周病にかかりやすくなります。
歯周病を放っておくとどうなるの?

「歯周病で歯が抜けても、そのまま放置しておけばいい」こんなことを考えている人はいませんか? いいえ、決してそんなことはありません。最近では、糖尿病・早産・未熟児・心臓病・脳卒中・肺炎など、さまざまな病気との関係も指摘され始めています。
口内細菌が招くこんな病気
糖尿病
ご存知の通り、慢性的に血糖値が高くなり、全身の免疫力が落ちる病気です。悪化するとさまざまな合併症を引き起こすこともある怖い病気です。この糖尿病も、歯周病の細菌が原因でなることがあります。
また、反対に糖尿病による免疫力の低下が、歯周病になりやすくします。実際、歯周病を治療すると、糖尿病も改善する場合があります。
肥満
「え? 歯周病が肥満と関係するの?」と思った方もいませんか? 肥満の人は思慕追う細胞によって全身の炎症が起きているため、歯周病の炎症を悪化させやすく、また、歯周病が起こす炎症が肥満を招く一因になるともいわれています。
また、肥満と糖尿病のある人は、歯周病やメタボリックシンドロームにもなりやすいともいわれております。
脳卒中
血液中の歯周病菌がアテローム性プラークをつくり、それが原因で血栓が生じ、脳血管にまで運ばれるなどして発症します。脳卒中は、脳の血管が詰まったり、破れたりする病気です。命にかかわり、深刻な後遺症をもたらすこともあります。
心内膜炎
血液中に流れ込んだ歯周病菌やその毒素が心臓にまでいたり、心臓弁膜に障害を見つけると、そこでバイオフィルムをつくって感染症の心内膜炎を引き起こすことがあります。
心内膜炎とは、心臓の内側に炎症が生じて高熱、動悸、不整脈などが起こったり、心臓や脳、肝臓などに血栓を生じたりする疾患です。
動脈硬化
歯周病菌が血管に入ると炎症を起こして粥種をつくり、動脈硬化を進行させる危険があります。動脈硬化とは、動脈が弾力性を失って硬くなる、内腔が狭くなるなどして、血液の流れが悪くなる状態のことを言います。メタボリックシンドロームにも関連しているといわれます。
敗血症
血液中で細菌が増殖して全身に広がり、その毒素で中毒を起こしたり、いろいろな臓器に障害を起こしたりする病気です。
本来、血液には細菌の増殖を抑える力がありますが、免疫力が低下すると歯周病菌も増殖し、激しい頭痛を招いたり、心臓、肺、腎臓、筋肉、関節などにさまざまな障害を生じさせます。
早産/低体重児出産
低体重児は、体重が2500グラム未満で生まれる赤ちゃんのこと。未熟児ともいわれます。血液中で、歯周病菌の毒素や炎症物質の濃度が高まると、子宮筋が収縮し、胎児が十分に成長していない状態で出産するリスクが高まります。
また、妊婦は女性ホルモンを大量に分泌するため、歯周病になりやすいという問題もあります。さらに女性は骨粗しょう症により歯を失うこともあります。
誤嚥性肺炎
高齢者の死亡原因として多い肺炎です。口内細菌が唾液に混じって気道から肺に入ることで起こります。口腔機能の衰えから高齢者には誤嚥が多く、口内に細菌が多いと、誤嚥性肺炎を招きやすくなります。